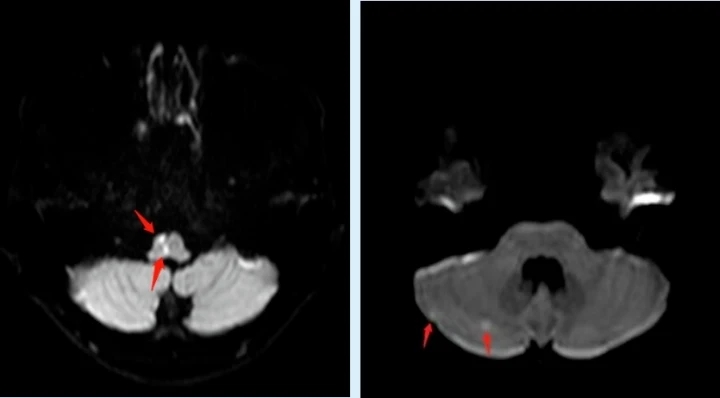
不久前,高三在讀學生小黃在課間休息時突然感覺自己左側肢體麻木、乏力,走路搖搖晃晃的,班主任見狀立即呼叫120送至惠州市第一人民醫院神經內科就診,出乎所有人的意料,平時生活作息規律、飲食均衡、熱愛運動且年僅17歲的小黃竟然得了“中風”!頭顱MR顯示延髓、右側枕葉及右側小腦半球多發腔隙性腦梗死。
“中風”這個老年人高發的疾病怎么會落在這位年輕小伙子頭上呢?
市第一人民醫院神經內科一區主任邱金華介紹,經檢查發現,導致這個小伙子中風的原因竟是因為他的心臟有個大小約4mm的“心眼兒”——卵圓孔未閉。
人人都有“小心眼兒”
卵圓孔,人類胎兒期,左右心房隔膜上的一個小孔。胎兒期左右心房的血液是相通的。一般來說,這個卵圓孔在出生1年后就會自然閉合,但是有一部分人沒有閉合這個“心眼”,從而形成了“卵圓孔未閉”(下簡稱PFO)。而且,在成人中,卵圓孔未閉的情況并不少見,成人卵圓孔未閉發生率高達25~34%,也就是說每3-4個人中就有一人患有卵圓孔未閉!由于大部分人PFO的分流量太小,長期以來認為PFO不會造成臨床后果,所以才被人們忽視了這個“小心眼兒”的存在。

導致小黃中風的原因是因為心臟有個約4mm的“心眼兒”——卵圓孔未閉。
“小心眼兒”與“中風”
據悉,來源于全身靜脈系統的栓子(包括血栓、空氣栓、脂肪栓等)可通過這個“小心眼兒”進入體循環,導致一系列臨床癥狀,包括偏頭痛、腦梗死、心肌梗死、減壓綜合征等。
對此,有市民疑惑:有了“小心眼兒”就會得中風嗎?
邱金華指出,即便卵圓孔未閉發生率高,但并不是所有卵圓孔未閉患者均會發生腦梗死。一般在一定條件下才會發生卵圓孔未閉引起的腦栓塞:靜脈血栓形成、用力咳嗽憋氣排便等動作使卵圓孔擴張、漂浮在血液系統中的栓子剛好通過未閉合的卵圓孔進入左心繼而隨著血流堵塞腦血管引起腦栓塞。故無較多基礎病的腦梗死患者應特別考慮有無卵圓孔未閉的可能。
如何檢查出“小心眼兒”?
邱金華介紹,常規經胸心臟超聲對卵圓孔未閉的檢出率極低,若懷疑有卵圓孔未閉,需完善以下檢查:一是TCD發泡試驗,二是右心聲學造影,三是經食道心臟超聲。
這樣的“小心眼兒”需要治療
對于確診卵圓孔未閉但未發生腦梗死或未發生偏頭痛的患者,無需進行手術治療,但必須注意預防下肢靜脈血栓,避免做長時間憋氣、用力排便等動作,避免長時間久坐。而對于已經發生明確與卵圓孔未閉相關的腦梗死患者,須予抗栓治療以及卵圓孔未閉封堵術。
在此他呼吁廣大市民,若反復出現不明原因腦梗死、不明原因暈厥、不明原因腦缺血發作,不明原因偏頭痛,極有可能由于卵圓孔未閉合并反常栓塞引起的,建議進一步到醫院神經內科進行相關篩查,早日解除隱患,遠離大麻煩。
惠報全媒體記者李春鳳 通訊員王運廣 鄭海燕